Aneurisma da aorta abdominal
O que é
Fraqueza da principal artéria do abdômen causada pelo depósito de colesterol e cálcio na parede da artéria, fazendo-a dilatar como um balão. Trata-se de um processo lento e gradual, que pode levar anos. Acontece com mais frequência em pacientes com problemas vasculares, doenças do coração, pressão arterial elevada e fumantes.
Sintomas
Não há sintomas, quando rompe provoca uma grande perda sanguínea com risco de morte.
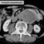
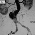
Diagnóstico
A tomografia computadorizada de abdômen é o principal exame para revelar e avaliar o tamanho do aneurisma. Também é comum recorrer à angiografia para planejar o tratamento.
Tratamento convencional
É uma cirurgia de grande porte realizada com anestesia geral e uma longa incisão no abdômen. Neste método, o cirurgião insere uma prótese sintética para substituir a artéria doente. O paciente necessita de cuidados em UTI, o tempo de internação costuma ser de 7 dias e a recuperação, entre 6 e 8 semanas.
Tratamento endovascular
Minimamente invasivo e sem abertura do abdômen, a prótese é introduzida através de uma pequena incisão na virilha acima e abaixo do aneurisma. O procedimento ocorre dentro do vaso sanguíneo no qual a endoprótese forma um novo e seguro canal por onde passará o fluxo sanguíneo. O tempo de internação hospitalar é de 1 a 2 dias e o retorno às atividades habituais pode ser feito em uma semana.
Técnica percutânea
É realizada apenas por punção e consiste no uso de dispositivos de oclusão que suturam o vaso. Oferece uma recuperação mais rápida, pós-operatório sem dor e, consequentemente, um menor tempo de internação.
Caso 01
Caso 02
Caso 03
Caso 04
Aneurisma da artéria poplítea
O que é
Dilatação segmentar e permanente da artéria poplítea (que fica atrás do joelho) com diâmetro acima de 50% do esperado. Tem como principal causa o processo degenerativo aterosclerótico, mas também pode ser desencadeada por trauma.
Sintomas
Grande parte deles é assintomático. No entanto, quando o aneurisma atinge proporções maiores, pode comprimir estruturas vizinhas como nervos e/ou veias, o que leva a sensação de formigamento, agulhada ou dor na perna e no pé e edema. As complicações mais frequentes são trombose do aneurisma ou embolia das artérias da perna, que podem causar até gangrena no membro.
Diagnóstico
É feito com base no exame clínico e em exames de imagem como ultrassom Doppler arterial ou angiotomografia (capazes de estimar o tamanho dos aneurismas e se há a presença de trombo dentro deles).
Tratamento
É cirúrgico. No tratamento convencional, o cirurgião insere uma prótese plástica ou um segmento da veia safena do próprio paciente para substituir a região da artéria que está dilatada. Já na cirurgia endovascular, o especialista coloca stents por dentro do aneurisma, isolando-o da circulação através de um pequeno orifício na pele.
Pré-operatório e pós-operatório
O pré-operatório requer exames laboratoriais, eletrocardiograma e radiografia de tórax. Após o procedimento, o paciente é acompanhado por meio de exame clínico periódico e realização de ultrassom Doppler arterial.
Prevenção
Não há como prevenir.
Foto
Aneurisma da artéria renal
O que é
Dilatação da artéria renal que a deixa, no mínimo, 50% mais calibrosa do que seu diâmetro normal. Suas principais causas são displasia fibromuscular (desenvolvimento anormal da parede arterial) e aterosclerose (fraqueza da parede arterial em consequência do depósito de placas de colesterol). Traumas ou infecções abdominais também podem comprometer a integridade arterial da parede.
Sintomas
Em geral, não há sintoma e o aneurisma é encontrado por acaso durante a realização de algum exame de imagem abdominal. Mas, em alguns casos, pode provocar dor lombar, sangramento urinário e hipertensão arterial de difícil controle.
Diagnóstico
É confirmado com exames de imagem como ultrassonografia com Doppler, tomografia computadorizada, ressonância magnética e angiografia.
Tratamento convencional
Para o aneurisma assintomático e menor de 2 cm de diâmetro, opta-se pelo tratamento clínico com controle da pressão arterial, glicemia e lipidemia (colesterol, triglicérides). Quando a dilatação é maior ou sintomática, há necessidade de intervenção cirúrgica. No procedimento convencional é feita a abertura da cavidade abdominal e a remoção do segmento dilatado da artéria renal.
Tratamento endovascular
É realizado através da cateterização do aneurisma e da oclusão do mesmo com uma punção na região inguinal. Minimamente invasivo (sem pontos), pode ser feito apenas com anestesia local.
Pré-operatório e pós-operatório
O pré-operatório necessita da avaliação das características anatômicas do aneurisma, avaliação hematológica laboratorial e avaliação cardiológica completa. O pós-operatório é mais rápido no tratamento endovascular, em apenas três dias o paciente retoma suas atividades. Já na técnica aberta, há necessidade de internação e período mais prolongado de repouso.
Prevenção
Possível apenas nos casos de causa aterosclerótica com controle da pressão arterial, glicemia, do colesterol e de triglicérides e abandono do cigarro.
Fotos
Aneurisma intracraniano
O que é
Dilatação localizada e permanente de um vaso sanguíneo intracraniano, isto é, que irriga o cérebro. Há dois tipos: sacular (maioria deles) e fusiforme.
Sintomas
O aneurisma intracraniano pode ser assintomático e diagnosticado por acaso em exames de imagem realizados por outras causas. A manifestação mais temível é a ruptura que leva a um quadro conhecido por hemorragia subaracnóide. Nessa eventualidade, dependendo da quantidade de sangue extravasada, o quadro clínico varia desde uma cefaleia (dor de cabeça) até o coma ou a morte. Em algumas situações, dependendo da localização e do tamanho, pode produzir sintomas de compressão similar a um tumor.
Causas
Fatores estruturais, ou seja, uma falha na estrutura do vaso sanguíneo que se dilata devido a ocorrências como hipertensão. O hábito de fumar também desencadeia o aneurisma intracraniano, assim como componentes genéticos.
Incidência
Acredita-se que a incidência no Brasil seja semelhante a dos EUA, em torno de 3 a 4% da população. Nas angiografias cerebrais realizadas por outros motivos a ocorrência chega a 1%. Trata-se de uma doença que merece atenção, pois segundo o autor Weber: “menos de 2% da população terá aneurisma intracraniano – 1% rompe e 0,5% leva à morte”.
Diagnóstico
Quando o aneurisma é volumoso pode ser suspeitado a partir da tomografia computadorizada. A angioressonância ou angiotomografia detectam aneurismas menores, mas o padrão considerado ouro para o diagnóstico dessa doença é a angiografia cerebral, que é o cateterismo dos vasos cerebrais.
Tratamentos
O objetivo de qualquer tratamento é excluir o aneurisma da circulação, evitando seu crescimento e, portanto, sua ruptura. O tratamento clássico é realizado por meio da craniotomia e a colocação de um clipe metálico na base do aneurisma (colo). Essa cirurgia é feita com auxílio de microscópio cirúrgico, permitindo ao neurocirurgião habilitado a dissecção dos vasos sanguíneos envolvidos para o posicionamento adequado do clipe.
O tratamento endovascular com espirais destacáveis também vem sendo indicado com frequência. Com o auxílio da radioscopia e de microcateteres, consiste em alcançar o saco aneurismático por dentro e depositar no seu interior as espirais de tamanhos e números variados com o intuito de excluir o aneurisma da circulação. Essa exclusão acontece mediante o preenchimento da cavidade com o máximo de espirais possíveis.
Pré-operatório e pós-operatório
Tanto o pré-operatório como o pós-operatório dependem do quadro clínico inicial do doente. Se o aneurisma está íntegro e foi achado “de surpresa”, tanto o pré-operatório como o pós-operatório apresentam, em geral, boa evolução. Se a manifestação tiver sido a hemorragia subaracnóide, indicando a ruptura do aneurisma, a evolução estará ligada à quantidade de sangue extravasada e ao vaso-espasmo (redução do calibre dos vasos que podem causar uma diminuição do afluxo de sangue para territórios nobres) causando, mesmo com o sucesso do tratamento, sequelas mais ou menos graves.
Novos aneurismas
Quando bem-clipado (operação convencional) ou bem-embolizado (tratamento endovascular), o aneurisma não se manifesta de novo. Em situações nas quais não foi possível ocluir totalmente o aneurisma, o resíduo pode crescer e trazer os mesmos riscos do aneurisma inicial. Pelo fato de o aneurisma surgir em função de um defeito da parede arterial, existe a possibilidade do aparecimento de aneurismas múltiplos, isto é, em locais diferentes daquele tratado.
Prevenção
Não há como prevenir. A prevenção contra a ruptura pode ser feita pelo diagnóstico precoce em exames de imagem (angioressonância, angiotomografia ou angiografia), particularmente, em indivíduos com antecedentes na família. Aneurismas muito pequenos (menor que 3 mm) devem ser acompanhados pela angiografia anual no intuito de identificar seu crescimento. Controlar a pressão arterial e parar de fumar também contribuem para estabilizar o tamanho do aneurisma.
Foto
Aneurisma da aorta tóraco-abdominal
O que é
Dilatação anormal que atinge os ramos da aorta – a artéria que envia sangue para órgãos como rins, fígado e intestinos. O depósito de colesterol e cálcio na parede da artéria é provocado por diversos fatores, como formação genética, hereditariedade, idade avançada e tabagismo. As regiões acometidas são classificadas em uma escala de 1 a 5, cada trecho com um tipo de enfoque durante a cirurgia.
Sintomas
Costuma ser detectado em exames de rotina, pois o paciente geralmente não apresenta sintomas. Em alguns casos, o primeiro sinal pode ser o rompimento do aneurisma, que representa uma situação de emergência e vem acompanhado de dor torácica e/ou abdominal e queda da pressão arterial.
Tratamento convencional
Há necessidade de abertura do abdômen e tórax, seguida da interrupção temporária do fluxo de sangue neste segmento da aorta e seus ramos, além da substituição da porção dilatada por uma prótese de tecido que é costurada no local. Os ramos viscerais da aorta também devem ser reimplantados, o que torna a cirurgia mais prolongada e com risco elevado de complicações. Neste procedimento é necessária a aplicação de anestesia geral. Por ser uma intervenção de grande porte, a recuperação é mais lenta e o tempo de internação maior.
Tratamento endovascular
Minimamente invasivo e sem abertura do abdômen, a prótese é introduzida através de uma pequena incisão na virilha acima e abaixo do aneurisma. Tudo ocorre por dentro do vaso sanguíneo no qual a endoprótese forma um novo e seguro canal por onde passará o fluxo sanguíneo. De acordo com a abrangência da doença, pode ser necessário também o reimplante nas artérias viscerais.
Dissecção da aorta
O que é
Ocorre quando a parede da aorta – composta por três camadas laminares – se rompe parcialmente, com a entrada de sangue fazendo um falso trajeto. Esta dissecção pode progredir até as artérias das pernas e obstruir o fluxo sanguíneo de inúmeras outras importantes artérias. Trata-se de um dos mais graves eventos que podem acometer a aorta, já que a evolução natural é quase sempre fatal. Os fatores que mais influenciam a deterioração da parede arterial são hipertensão, aterosclerose e fumo.
Sintomas
Muitas vezes é confundida com doenças cardiotorácicas, patologias abdominais agudas e síndromes neurológicas.O mais comum é a dor no peito, frequente em 93% dos pacientes (em 85% a dor surge de repente). As pessoas também se queixam de dor abdominal, indício de comprometimento das artérias intestinais, e podem apresentar isquemia medular. Em função das artérias obstruídas, as consequências podem ser acidente vascular cerebral, ataque cardíaco, insuficiência renal e gangrena nas pernas.
Diagnóstico
A suspeita é confirmada com exame clínico, ecocardiograma e angiotomografia computadorizada.
Tratamento
O tratamento primário é feito com medicamentos vasodilatadores e betabloqueadores para reduzir a força de contração do coração e a onda de pulso aórtica e também para controlar a pressão arterial. Ele pode significar a estabilização da extensão da dissecção e do risco de ruptura.
Já o procedimento cirúrgico ocorre quando há complicações como expansão do aneurisma, má perfusão visceral (rim e intestino), isquemia de membros inferiores, ruptura aórtica e persistência da dor com descontrole da pressão arterial. Nestes casos, a alternativa é operá-las pelo método endovascular (colocação de uma endoprótese na área da aorta acometida através de uma incisão na virilha) com menor tempo cirúrgico, menor perda sanguínea e recuperação mais rápida.
Prevenção
A melhor maneira de prevenir a dissecção é o controle adequado da hipertensão arterial.
Foto
Dissecção da aorta
O que é
Ocorre quando a parede da aorta – composta por três camadas laminares – se rompe parcialmente, com a entrada de sangue fazendo um falso trajeto. Esta dissecção pode progredir até as artérias das pernas e obstruir o fluxo sanguíneo de inúmeras outras importantes artérias. Trata-se de um dos mais graves eventos que podem acometer a aorta, já que a evolução natural é quase sempre fatal. Os fatores que mais influenciam a deterioração da parede arterial são hipertensão, aterosclerose e fumo.
Sintomas
Muitas vezes é confundida com doenças cardiotorácicas, patologias abdominais agudas e síndromes neurológicas.O mais comum é a dor no peito, frequente em 93% dos pacientes (em 85% a dor surge de repente). As pessoas também se queixam de dor abdominal, indício de comprometimento das artérias intestinais, e podem apresentar isquemia medular. Em função das artérias obstruídas, as consequências podem ser acidente vascular cerebral, ataque cardíaco, insuficiência renal e gangrena nas pernas.
Diagnóstico
A suspeita é confirmada com exame clínico, ecocardiograma e angiotomografia computadorizada.
Tratamento
O tratamento primário é feito com medicamentos vasodilatadores e betabloqueadores para reduzir a força de contração do coração e a onda de pulso aórtica e também para controlar a pressão arterial. Ele pode significar a estabilização da extensão da dissecção e do risco de ruptura.
Já o procedimento cirúrgico ocorre quando há complicações como expansão do aneurisma, má perfusão visceral (rim e intestino), isquemia de membros inferiores, ruptura aórtica e persistência da dor com descontrole da pressão arterial. Nestes casos, a alternativa é operá-las pelo método endovascular (colocação de uma endoprótese na área da aorta acometida através de uma incisão na virilha) com menor tempo cirúrgico, menor perda sanguínea e recuperação mais rápida.
Prevenção
A melhor maneira de prevenir a dissecção é o controle adequado da hipertensão arterial.
Foto
Doença arterial periférica
O que é
Placa de gordura que se calcifica na parede das artérias e diminui a nutrição de órgãos e membros devido à aterosclerose. Os fatores de risco para contrair a doença são: hereditariedade, diabetes, hipertensão arterial sistêmica, tabagismo, colesterol alto e sedentarismo. Pode se manifestar em três regiões: aorta ilíaca (mais comum em pessoas de 45 a 55 anos), femoro-poplíteo (frequente em pessoas de 55 a 65 anos) e infra-patelar (presente em pacientes diabéticos e acima de 65 anos).
Sintomas
Ao caminhar, o doente sente dor nas panturrilhas, coxas e nádegas (conhecida como claudicação intermitente). Nas obstruções mais extensas podem surgir úlceras nas pernas, nos pés ou dedos e até mesmo gangrena.
Diagnóstico
O exame clínico é suficiente para diagnosticar a doença, mas, para garantir com precisão o grau da obstrução, utilizam-se a ecografia Doppler e a arteriografia.
Tratamento clínico
Para quem só tem a claudicação intermitente, o tratamento é clínico e o paciente é orientado a praticar marcha e evitar os fatores de risco.
Tratamento endovascular
Pacientes com feridas necessitam de cirurgia na qual é feita punção na virilha, dilatação dos estreitamentos com balão e colocação de stent (molde metálico) para manter a artéria aberta. Com este procedimento, o paciente evita cortes, toma anestesia local e pode voltar para casa no mesmo dia (após seis horas de repouso) ou no dia seguinte. Para evitar novas lesões é imprescindível que a pessoa mude seus hábitos de vida, optando por um estilo mais saudável – inclui-se aí a prática regular de exercícios, a suspensão do fumo e o controle do colesterol e do diabetes.
Tratamento aterectomia direcional (tipo lipoaspiração)
Pacientes com entupimento das artérias dos membros inferiores que sentem dores, dificuldade para andar e correm risco de amputações são casos para este procedimento feito na perna, com um corte de cerca de 2 cm na região da virilha para atingir a artéria femoral. Equipamento chamado TurboHawk é direcionado para o vaso entupido e quando chega ao ponto, começa a remover a gordura, com o controle do médico. Uma lâmina corta as placas até desobstruir. A técnica é feita em aproximadamente duas horas e a recuperação é rápida, em 15 dias o paciente retorna às suas atividades normais. O procedimento ainda tem outras vantagens ao método tradicional ou à colocação de stent: caso a artéria volte a obstruir, é possível realizar o procedimento outras vezes no mesmo local.
Doença obstrutiva segmento aorto ilíaco – Caso 01
Doença obstrutiva segmento aorto ilíaco – Caso 02
Doença obstrutiva em diabéticos
Embolia pulmonar
O que é
Obstrução das artérias pulmonares por um coágulo que se desprende em pacientes com trombose venosa profunda. Às vezes, a embolia pode ocorrer em pessoas que não sabiam ter trombose venosa.
Sintomas
Falta de ar, tosse, pressão baixa e até a morte.
Diagnóstico
É realizado clinicamente e por meio de tomografia computadorizada.
Tratamento endovascular
Por meio de cateteres, o trombo é aspirado das artérias pulmonares. Pacientes pré-dispostos a embolizar recebem um implante de filtro de veia cava para impedir a passagem dos êmbolos para o coração e daí para os pulmões, evitando a embolia pulmonar e a possível morte.
Foto
Estenose da artéria renal
O que é
Estreitamentos das artérias dos rins – levam sangue e ajudam os rins a filtrar o sangue e também a controlar a pressão arterial por auxiliar a secretar o hormônio renina – que impedem o órgão de trabalhar corretamente.
Sintomas
Muitas vezes, as estenoses são assintomáticas. Mas, em outros casos, podem estar associadas à hipertensão de difícil controle, função renal (filtração) diminuída, insuficiência cardíaca congestiva ou diminuição do tamanho dos rins.
Diagnóstico
É feito com base no exame clínico e em exames complementares como ultrassom abdominal (mostra os vasos sanguíneos e o órgão e facilita a localização de coágulos ou áreas de estreitamento e a determinação do tamanho do rim), ecografia vascular com Doppler (analisa precisamente o fluxo sanguíneo renal e estima o grau de estreitamento das artérias renais), angiotomografia computadorizada (revela com precisão a estrutura da parede dos vasos sanguíneos de médio e grosso calibres), angioressonância magnética (produz imagens bi ou tridimensionais das estruturas internas do órgão), angiografia (localiza os estreitamentos ou a obstrução através de raio-x) e cintiolografia renal (analisa o fluxo sanguíneo nos rins).
Tratamento
Inicialmente, o especialista utiliza medicamentos, mas quando o uso é ineficiente, levando à perda da função renal, recomenda-se a angioplastia renal.
Angioplasita renal
O que é
Técnica cirúrgica minimamente invasiva indicada, basicamente, para casos de estenoses críticas (acima de 70%) de uma ou de ambas as artérias renais com comprometimento da função dos rins.
Pré-operatório
Não há nenhum preparo específico para o procedimento, apenas os mesmos cuidados de qualquer cirurgia como jejum de 8 horas e suspensão de anticoagulantes e alguns tipos de hipoglicemiantes orais (remédios para tratamento de diabetes). Recomenda-se que o paciente tome uma medicação (suspensão oral) na véspera do procedimento no intuito de proteger os rins.
Como funciona
Todo o procedimento é realizado “por dentro dos vasos sanguíneos”, através de uma punção na região da virilha. Não há cortes ou necessidade de pontos. Uma anestesia local é empregada junto com uma sedação leve.
São introduzidos cateteres até o vaso acometido através do qual é implantado um stent (tubo metálico que mantém o vaso aberto), que é expandido por um balão. A taxa de sucesso do procedimento é de 95%, ou seja, em apenas 5% das vezes não é possível implantar o stent.
Pós-operatório
Os cuidados consistem em hidratação e monitoração da função renal. O paciente é liberado para andar já no dia seguinte. Em vista da natureza pouco agressiva do procedimento, o retorno às atividades habituais e mesmo ao trabalho, ocorre entre 1 a 2 dias.
Fotos
Estenose de carótidas
O que é
Divisão da parede da aorta em duas com a entrada de sangue fazendo um falso trajeto e que pode progredir até as artérias das pernas e obstruir o fluxo sanguíneo de inúmeras outras importantes artérias. Trata-se de um dos mais graves eventos que podem acometer a aorta, já que a evolução natural é quase sempre fatal. Muitas vezes, é confundida com doenças cardiotorácicas, patologias abdominais agudas e síndromes neurológicas.
Causas
Os fatores que mais influenciam a deterioração da parede arterial são hipertensão, aterosclerose e fumo.
Sintomas
O mais comum é a dor no peito, frequente em 93% dos pacientes (em 85% a dor surge de repente). Os doentes também se queixam de dor abdominal, indício de comprometimento das artérias intestinais, e podem apresentar isquemia medular. Em função das artérias obstruídas, as consequências podem ser acidente vascular cerebral, ataque cardíaco, insuficiência renal e gangrena nas pernas.
Diagnóstico
É feito com o exame clínico, ecocardiograma e angiotomografia computadorizada.
Tratamento
Inicialmente, o tratamento se dá com medicamentos vasodilatadores e betabloqueadores para reduzir a força do coração e a onda de pulso aórtica e também para controlar a pressão arterial. A intenção é estabilizar a extensão da dissecção e o risco de ruptura. Quando há complicações como expansão do aneurisma, má perfusão visceral, isquemia de membros inferiores, ruptura aórtica e persistência da dor com descontrole da pressão arterial, a saída é a cirurgia. Uma alternativa é operá-los pelo método endovascular (colocação de uma endoprótese na área da aorta acometida através de uma incisão na virilha) com menor tempo cirúrgico e perda sanguínea e recuperação mais rápida.
Prevenção
A melhor maneira de prevenir a dissecção é manter o controle da hipertensão arterial.
Caso 01
Caso 02
Hiperidrose
O que é
Uma disfunção do sistema nervoso autônomo simpático – responsável por regular a temperatura do corpo – que produz um suor excessivo. Acomete 2% da população e pode ocorrer na palma da mão, axila, planta do pé, face e no dorso.
Sintomas
Na axila: as principais queixas são roupas excessivamente molhadas, manchadas e danificadas e aspecto de má higiene. Na palma da mão: os pacientes reclamam de dificuldades para manusear papéis e instrumentos e cumprimentar ou tocar pessoas, resultando em dificuldades de relacionamento e problemas psicológicos.
Tratamento convencional
Paliativo e temporário. Podem ser feitos por meio do uso de antiperspirantes e medicamentos como anticolinérgicos (com efeitos colaterais), da iontoforese (substâncias administradas por corrente elétrica que reduzem o suor de seis horas a uma semana) e aplicação de botox sob a pele (50 injeções em cada mão com efeito de um a seis meses).
Cirurgia
Definitiva e irreversível. Conhecida como Simpatectomia é feita por videotoracoscopia – técnica endoscópica pouco agressiva realizada através de duas pequenas incisões na região da axila. O paciente fica no hospital por um período de 24 a 36 horas e o resultado é imediato.
Fotos
Má-formação artério-venosa
O que é
São vasos sanguíneos anormais que podem acometer a circulação cerebral ou dos membros.
Sintomas
Dependendo do local, a má formação artério-venosa pode romper e provocar hemorragias, dor e inchaços.
Diagnóstico
É feito clinicamente e com exames como tomografias e ressonâncias.
Tratamento endovascular
É a melhor opção. São introduzidos cateteres dentro dos vasos sanguíneos anormais para embolizá-los. As vantagens para o paciente: método menos invasivo, menor tempo de internação e recuperação mais rápida.













































Últimos comentários